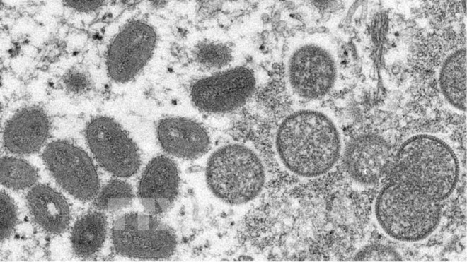
En una reunión efectuada la víspera en Hanoi para debatirmedidas de respuesta a la epidemia, los delegados participantes explicaron queel riesgo se debe a la aparición de la viruela símica en muchos países, asícomo al conveniente y creciente aumento del intercambio de viajes entre Vietnamy el mundo.
Por tal motivo, enfatizaron en la importancia de trazarplanes para detectar e impedir la propagación de la enfermedad, y proteger alpersonal de la salud que está en alto riesgo de contagio.
Con el fin de detectar y prevenir de manera proactiva loscasos sospechosos de enfermedades infecciosas en las fronteras, el Departamentode Medicina Preventiva, del Ministerio de Salud, exhortó a las unidadespertinentes a desplegar seriamente actividades de cuarentena médica para las personas,vehículos y bienes conforme con las regulaciones vigentes.
El Ministerio de Salud también instó a actualizar losplanes para responder a enfermedades infecciosas en cada puesto fronterizo, loque requiere la coordinación y participación de los organismos funcionales yagencias de salud locales para atender con prontitud posibles situacionesepidémicas.
Vietnam se ubica actualmente en el Grupo 1, que comprendelos países que no han reportado ningún caso de la viruela símica o no lo ha registradoen los últimos 21 días.
Para este grupo de países, la Organización Mundial de laSalud (OMS) sugirió activar o establecer un mecanismo de coordinación entre elMinisterio de Salud y otros sectores para fortalecer la preparación de respuestaa la viruela del simio y prevenir la transmisión de persona a persona.
También exigió planificar y/o implementarintervenciones para evitar la discriminación contra los individuos o colectivossusceptibles a la viruela símica, con el objetivo de prevenir la transmisiónsilenciosa del virus en la comunidad.
Recomendó establecer y fortalecer la supervisiónepidemiológica de la viruela del mono, mejorar la capacidad de detección de laenfermedad, sensibilizar al público, aumentar la divulgación de información alrespecto, y apoyar a los medios de comunicación en la evaluación del riesgo detransmisión en los sitios decongregación.
A través de los canales locales establecidos por elReglamento Sanitario Internacional (RSI), se debe notificar de inmediato a laOMS los posibles casos de viruela símica, incluidos los sospechosos yconfirmados./.

 
   
   
   
   
   
   
   
   
   
   
   
   
   
   
   
   
   
   
   
   
   
   
   
   
   
   
  